長期對孩子怒吼,竟會導致大腦結構改變,情緒更焦慮

家庭教育對孩子的成長發展至關重要,父母平時的管教言語及表達方式,如果常常是生氣大吼大叫,或是嚴厲的怒罵,研究發現,會造成孩子大腦結構改變,影響孩子的社會和情感發展,以及他們的大腦發育。
長期怒吼,會造成孩子情緒調節中樞出問題
這是出自國際期刊《發展與心理病理學》(Development and Psychopathology)中的一篇研究〈Prefrontal cortex and amygdala anatomy in youth with persistent levels of harsh parenting practices and subclinical anxiety symptoms over time during childhood〉。
這項研究是由蒙特婁大學及史丹福大學共同執行,他們使用了魁北克統計研究所於2000 年代初,在聖胡斯汀出生兒童的監測數據。他們每年都會對2~9歲幼童進行評估,記錄他們接受的教養方式及焦慮程度,並進行腦部掃描。當這些兒童進入12至16歲時,研究人員會透過磁力共振,掃描他們的腦部。
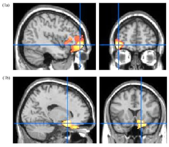
研究結果發現,吼叫雖然沒有實質上的身體接觸,長期下來也會嚴重傷害兒童腦部發展。這些受到父母嚴厲教養的兒童,大腦的「前額葉皮層」和「杏仁核」較小,這兩個區塊主要是是人體調節情緒和焦慮的關鍵中樞。若該部位萎縮,會增加罹患憂鬱、躁鬱的機率。
長期受嚴苛教育的孩子前額葉皮層和杏仁核較小。圖片來源 /《Development and Psychopathology》
蒙特婁大學的教授莎莉娜.薩佛倫(Sabrina Suffren)表示,「對於父母和社會來說,應該要了解,頻繁使用嚴苛教育方式會損害兒童的成長。」她還指出,「如果小朋友情緒調節能力下降,會令他感到更焦慮和沮喪,進而影響創意、記憶力、學習能力的發展。」
雖然目前也有很多研究論點支持這項結果,但作者也在論文中指出,該研究仍存在一定的局限性。研究中觀察到的大腦結構異常,可能是早期生活壓力所致,也可能是遺傳所誘發的逆境暴露、心理創傷和與壓力相關的疾病易感性所致。同時,該研究還缺乏這些母親懷孕期間的數據(比如酒精、藥物、壓力)和父母精神健康的數據,而且有關父母教育方式和焦慮數據,可能缺乏一定的可靠性。
不過從這篇研究中,也可以提醒各位家長們,在教養上可以更多加留意,高EQ的父母,也才能教出高EQ的子女!
不用打的,爸媽可以怎麼有效處罰?
打孩子,孩子只是皮肉痛,為了逃避處罰,當下立刻跟你說下次不敢了,可是經常連自己犯什麼錯都不知道!這不是正確的教養,你應該用其他的懲罰方式:
1、自我檢討處罰法
帶孩子去罰站讀秒,結束時,讓他說對不起,並完整的說出”我下次再也不敢再打弟弟了!”等錯誤行為。
2、時間暫停處罰法
把孩子抓到面前來,時間暫停,限制他接下來的活動,請他好好看著你,跟他說你現在非常生氣,因為他做了一件非常危險的事,不准嘻皮笑臉,請他自己觀察他做了什麼,”例如他動手,讓人家痛到哭,他喜歡這樣嗎?”
3、勞力限制處罰法
罰勞務活動,例如:”整理家理”,”幫忙當小幫手”等,來換取原諒!
4、剝奪權益處罰法
禁止孩子最喜歡的活動當作懲罰,”亂丟玩具沒收拾好,就不會有再玩下一個遙控車的機會”,”鞋子亂丟,就不要出門,戶外的活動是你自己擔誤的,你越慢,玩的時間及項目就越少”,”警告好多次還打人,我們得將弟妹跟你隔離一下,因為你動手,他會怕你,你必須嚐到沒有人玩伴的滋味”
5、洗腦引導處罰法
在限制下,重複說出自己下次該做出的好行為!例如:沒有經過別人同意就動手,或搶人家的東西,邊罰站邊說出”我下次會先問別人,不會先動手!”
參考文獻:
1.Suffren, S., La Buissonnière-Ariza, V., Tucholka, A., Nassim, M., Séguin, J. R., Boivin, M., Kaur Singh, M., Foland-Ross, L. C., Lepore, F., Gotlib, I. H., Tremblay, R. E., & Maheu, F. S. (2022). Prefrontal cortex and amygdala anatomy in youth with persistent levels of harsh parenting practices and subclinical anxiety symptoms over time during childhood. Development and psychopathology, 34(3), 957–968. https://doi.org/10.1017/S0954579420001716
2.MailOnline(2021). How ‘harsh parenting’ can affect your child’s BRAIN: Getting angry, hitting or shouting at children can shrink their neural regions associated with anxiety and depression, study warns. https://www.dailymail.co.uk/sciencetech/article-9388497/Parenting-Repeatedly-getting-angry-shouting-children-affect-brain.html
延伸閱讀:










